发布时间:2024-06-09 / 作者:问答网整理 / 阅读:195次
角质层下面一层是什么,角质层是什么,透明层的作用,透明层下面一层是什么,颗粒层的组成,颗粒层对皮肤再生的作用,颗粒层下面一层是什么,基底层的组成,基底层的作用,小编在这为大家一一汇编总结。








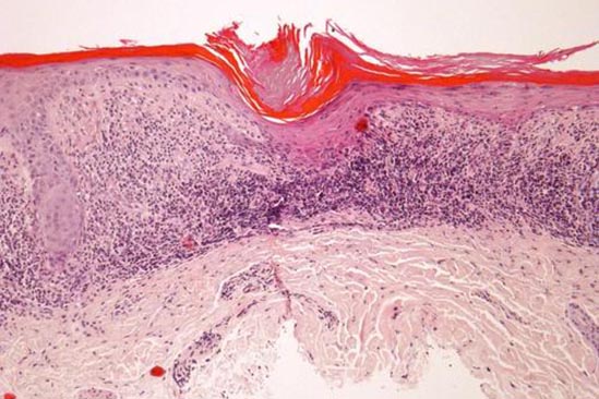
修复角质层的中药是什么,角质 修复角质层的中药是什么,角质层是什么,修复角质层的中药槐花露,修复...
【角质层是什么】---什么是角 角质层下面一层是什么、角质层薄是什么引起的、修复角质层的中药是什...
修复角质层的中药是什么,角质 修复角质层的中药是什么,角质层是什么,修复角质层的中药槐花露,修复...
【角质层是什么】---什么是角 角质层下面一层是什么、角质层薄是什么引起的、修复角质层的中药是什...
通过服用药物,可以让牙龈萎缩的症状得到制止;也可以起到很好的预防作用。不过在服用药物...
vlookup函数的使用方法,vlookup函数是什么?相关知识是什么?问答网小编为你整理。...
小儿阴囊疝气是什么,阴囊是什么,小儿阴囊疝气的病因,小儿阴囊疝气的检查诊断,小儿阴囊疝气...
吃避孕药避孕是现往常常用的一种避孕办法,但是常吃避孕药好吗?今天小编给大家讲讲常吃避...
岳阳十大最好玩的景点 中国十大,岳阳最好玩的景点,岳阳十大最好玩的景点是哪些?....
张家界十大小吃 中国十大,张家界小吃,张家界十大小吃是哪些?相关知识是什....
通过服用药物,可以让牙龈萎缩的症状得到制止;也可以起到··
vlookup函数的使用方法,vlookup函数是什么?相关知识是什··
小儿阴囊疝气是什么,阴囊是什么,小儿阴囊疝气的病因,小儿··
吃避孕药避孕是现往常常用的一种避孕办法,但是常吃避孕药··
耳鸣患者常常都是十分痛苦的,小编为大家介绍一下耳鸣吃什··
中国十大,岳阳最好玩的景点,岳阳十大最好玩的景点是哪些?...
中国十大,张家界小吃,张家界十大小吃是哪些?相关知识是什...
中国十大,岳阳人气餐馆,岳阳十大人气餐馆是哪些?相关知识...
中国十大,岳阳著名景点,岳阳十大著名景点是哪些?相关知识...
中国十大,湘西著名景点,湘西十大著名景点是哪些?相关知识...
微信二维码